Bonne nouvelle | PTCA réussie utilisant le ballon Lepu Vesscrack IVL à l'hôpital HMS Mirdif
-
2025-11-06
-
LEPU
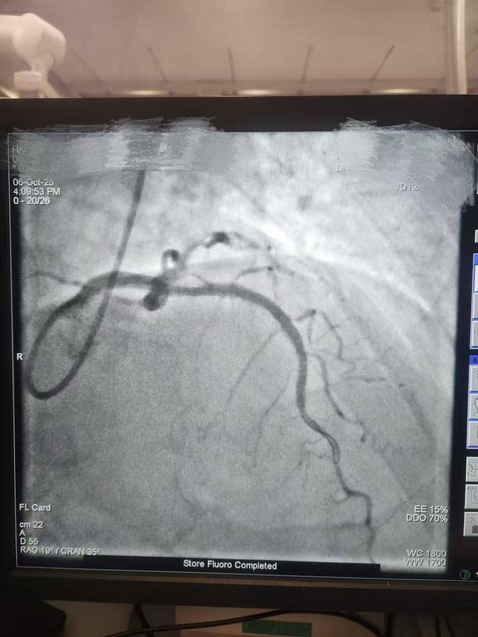
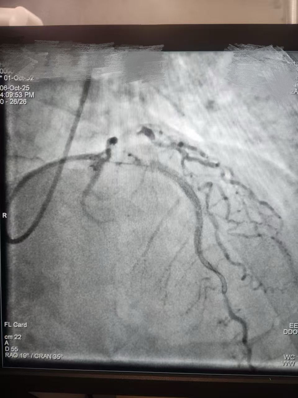
We are proud to share a successful clinical case from HMS Mirdif Hospital, UAE, where Dr. Mohamed Houcem Amiour and his exceptional Cath Lab team — Ambily Mathew, Aswathy S Babu, Geethanjali Rema Suresh, and Mathew Philip — successfully performed a PTCA to the LAD using Lepu Medical's Vesscrack Coronary IVL Balloon System.
To achieve optimal lesion preparation and stent expansion, the team skillfully combined Rotablator with Lepu's IVL, ensuring precise and effective calcium modification.
It demonstrates how Lepu's IVL technology delivers powerful calcium modification performance, supporting physicians in achieving safe and efficient outcomes in complex coronary interventions. A huge thank-you to Dr. Amiour and his incredible Cath Lab team for their trust in Lepu Medical.



