Projecteurs cliniques | Nuva®Déviateur de débit pour la gestion des anévrismes récurrente
-
2025-08-04
-
LEPU
Patient: Homme, 58 ans
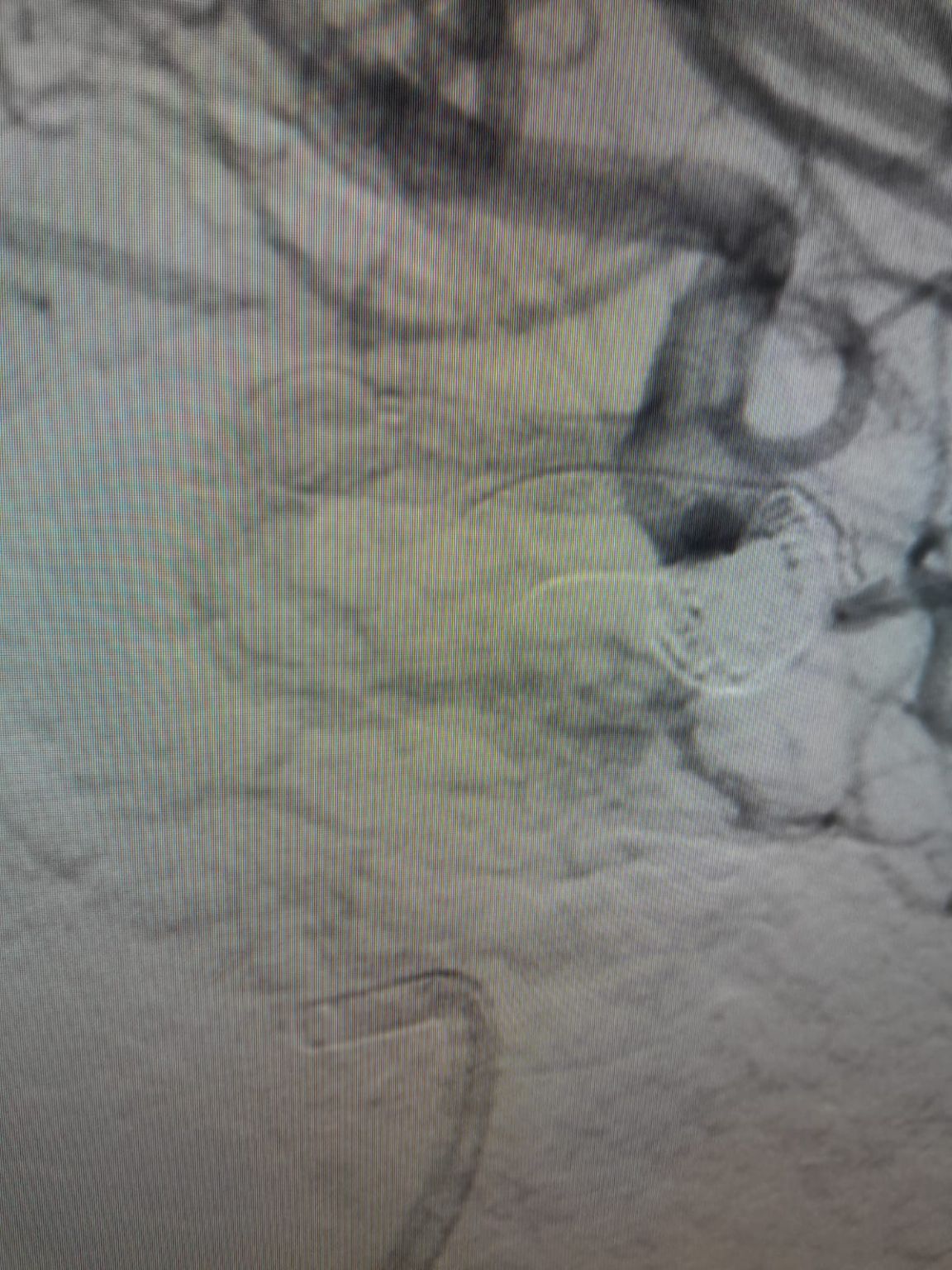
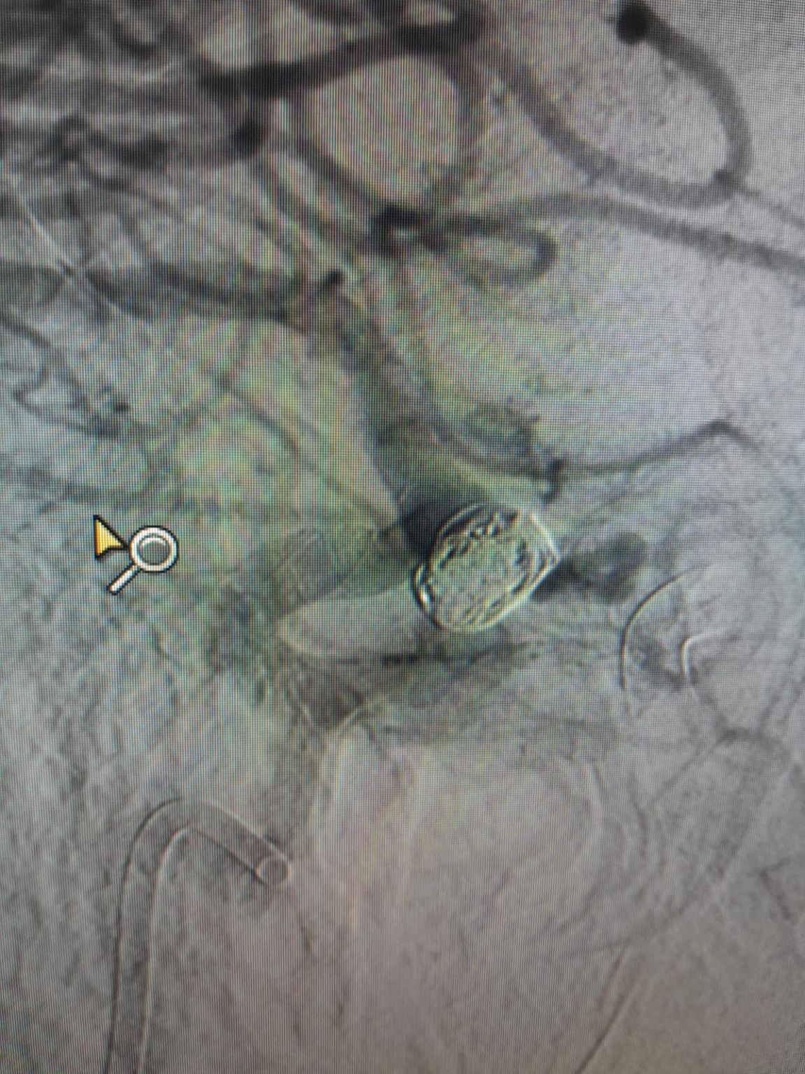
Diagnostic: Anévrisme de l'artère communicante postérieure droite, préalablement traité par embolisation en bobine
Procédure:
La procédure a été réalisée avec succès à la clinique Centenario par le Dr Rivera, avec le soutien de leur équipe clinique. L'accès vasculaire a été établi par ponction de l'artère fémorale. Un microfil a été soigneusement navigué jusqu'au site cible, suivi de l'avancement en douceur du Frepass®Microcathéter jetable (TJMC18 Plus). Après une mesure précise de l'anévrisme, un Nuva®Flow Diverter (TJED-D-4.5-14) a été sélectionné et déployé avec succès à travers le col de l'anévrisme.
La procédure a été complétée sans complications, et le Nuva®Dispositif démontré une excellente apposition de la paroi et effet de déviation d'écoulement. L'équipe clinique a hautement reconnu la manipulation et la performance de l'appareil.
Pourquoi Nuva®?
1. Nuva®Le déviateur d'écoulement offre la navigation douce, même dans des navires précédemment traités avec des bobines.
2. le dispositif assure un déploiement fiable et une excellente apposition murale.
3. Nuva®Favorise une dérivation efficace du flux et soutient la reconstruction de l'artère parentale à long terme.
4. Il simplifie les procédures de retraitement et réduit la complexité procédurale.
5. Nuva®Fournit la radioopacité pleine longueur cohérente, assurant l'exécution sans heurt de procédure.
Cette affaire démontre en outre que Nuva®Fournit aux médecins une solution fiable et efficace pour gérer les anévrismes récurrents avec précision et confiance.
Contact us>>Marketing@lepu-medical.com
Visit lepumedical website for more >>En.lepumedical.com





