Pleins feux sur la clinique | Traitement multi-anévrisme avec Nuva®Déviateur de débit et Perdenser®Système de bobine embolique
-
2025-07-23
-
LEPU
Patient: Femme, 48 ans
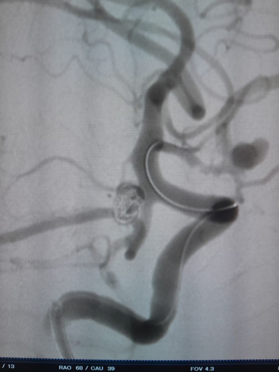
Le patient a été diagnostiqué avec un anévrisme sacculaire de l'artère communicante antérieure (AComA) nouvellement découvert et un anévrisme de l'artère communicante postérieure (PComA) qui avait été précédemment traité avec l'embolisation de la bobine. L'imagerie de suivi a révélé un remplissage résiduel dans l'anévrisme PComA, nécessitant une intervention supplémentaire.
Procédure
Anévrisme de l'artère communicante antérieure
L'accès vasculaire a été établi et l'équipe a ensuite navigué avec succès le Frepass®Microcathéter jetable (TJMC14) au site cible. L'embolisation a été réalisée à l'aide de trois Perdenser®Système Embolic Coil (TJCST4.508-3D, TJCST0306-3D, TJCST0206-3D) déployé avec le Deromper®Contrôleur de détachement de bobine (TJCDC).
Anévrisme de l'artère communicante postérieure (retraitement)
Au cours du suivi, un remplissage résiduel a été noté dans l'anévrisme de l'artère communicante postérieure précédemment traité. L'équipe a réaccédé au site en utilisant Frepass®Microcathéter jetable (TJMC18 Plus) et a déployé avec succès un Nuva®Déviateur d'écoulement (TJED-D-4.5-16), qui a démontré l'apposition de la paroi idéale et une excellente dérivation de l'écoulement, conduisant à des résultats de traitement très satisfaisants.
Perdenser®Et Nuva®-Solutions fiables pour la gestion des anévrismes complexes
Perdenser®: Embolisation précise à haute densité
Excellente conformabilité et densité d'emballage élevée pour l'occlusion stable d'anévrisme.
Une gamme complète de tailles pour l'encadrement, le remplissage et la finition.
Deromper®Système de détachement fournit un mécanisme de libération instantanée sûr et fiable.
Nuva®Solution efficace pour les anévrismes récurrente
Une solution efficace pour les anévrismes avec remplissage résiduel ou récidive après enroulement initial.
Navigation fluide et déploiement fiable.
Excellente apposition de mur et déviation stable d'écoulement.
Nuva®Simplifie le retraitement, réduit la complexité des procédures et améliore les résultats à long terme.
Dr. Rivera highly praised the handling, deliverability, and clinical results of TJWY's products, emphasizing their efficiency and reliability in complex aneurysm interventions. The smooth procedural experience and favorable imaging outcomes further strengthened his confidence in TJWY's neurointerventional solutions.
Contact us>>Marketing@lepu-medical.com
Visit lepumedical website for more >>En.lepumedical.com




