Partage de cas | Fermeture de TSA biodégradable sous la direction de TTE-Only chez le patient coronaire anormale
-
2025-08-11
-
LEPU
At Fuwai Hospital Shenzhen, Dr. Lu Yaoxing's team recently performed a successful transcatheter closure of a secundum atrial septal defect (ASD) using a MemoSorb biodegradable occluder in a 34-year-old male patient with a rare coronary anomaly.
Informations clés sur l'affaire:
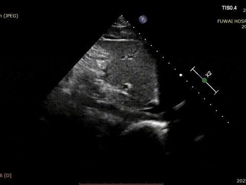
1. L'ASD était situé au centre, avec un diamètre mesuré d'environ 8,1mm (vue bicavale) et de 8,2mm (vue aortique sur axe court).
2. CTA coronaire a révélé une origine anormale de l'artère circonflexe gauche (LCX) du sinus coronaire droit, avec un cours entre l'aorte et l'oreillette gauche.
3. La distance entre l'ASD et la LCX aberrante n'était que d'environ 6mm.
4. il n'y avait pas de jante aortique, et les jantes inférieures et postérieures étaient relativement molles.
Compte tenu de la proximité du défaut à l'artère coronaire, un obturateur métallique traditionnel présentait un risque de compression, en particulier lors d'un effort physique. Un obturateur de TSA biodégradable (BDASD-I 18mm) a donc été choisi pour sa flexibilité, son risque moindre de blessure mécanique à long terme et sa capacité à se dégrader en dioxyde de carbone et en eau après avoir terminé la fonction de fermeture.
La procédure a été guidée par TTE suivant la procédure de PAN développée à l'hôpital de Fuwai. Cette technique d'imagerie en temps réel sans rayonnement offre une visualisation anatomique haute résolution, assurant un placement précis du dispositif et minimisant les complications-particulièrement utile chez les jeunes patients en âge de procréer.
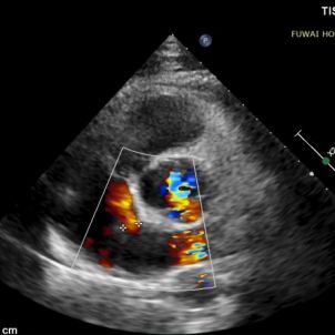
1-day postoperative TTE revealed that the occluder is in good shape without residual shunt (see last figure).
Contact us>>Marketing@lepu-medical.com
Visit lepumedical website for more >>En.lepumedical.com



