Accueil>Nouvelles
Suivi de 2 ans | Occludeur de TSA biodégradable MemoSorb
-
2025-08-11
-
LEPU
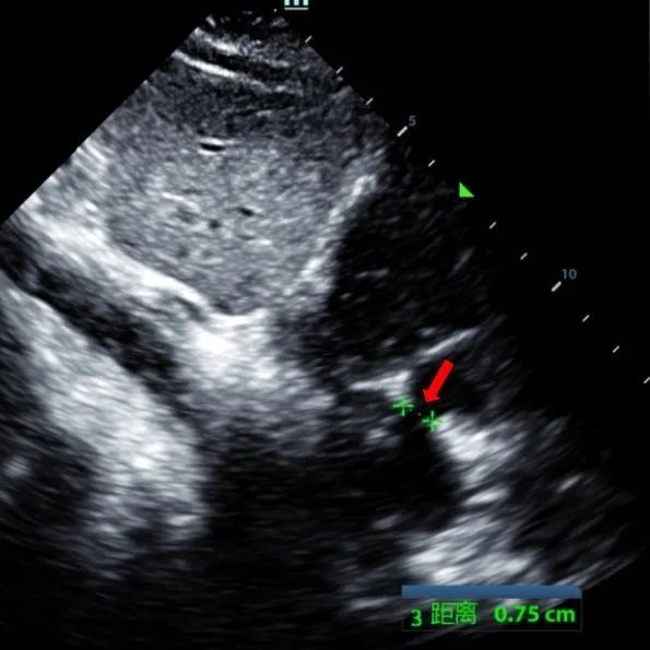
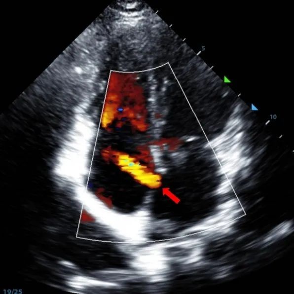
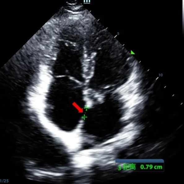
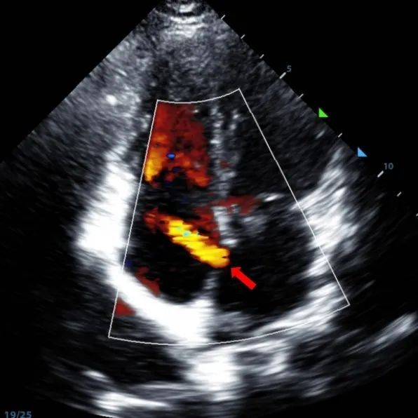
Un garçon de 9 ans avec un TSA secundum (7,5-7,9mm) a été traité à l'aide d'un occulteur MemoSorb BDASD-I 12mm et d'un système d'administration 12F. Aucune complication ou comorbidités n'a été notée avant l'intervention.
Serial echocardiographic follow-ups showed stable device position and favorable cardiac remodeling. Gradual degradation confirmed the occluder's long-term safety and efficacy.
Contact us>>Marketing@lepu-medical.com
Visit lepumedical website for more >>En.lepumedical.com




