Partage de cas | Calcification artérielle grave des membres inférieurs traitée avec ThorCrack IVL périphérique
-
2025-09-11
-
LEPU
Patient Profile
· Sexe: Femelle
· Age: 53 ans
·Chief Complaint: Bilateral foot necrosis with black discoloration for >6 months
Antécédents médicaux: hémodialyse à long terme pour la maladie rénale en phase terminale, l'hypertension et le diabète sucré avec un mauvais contrôle à long terme
Résultats cliniques
· Examen physique: Impulsions fémorales faibles; pulsations absentes de poplité et de dorsalis pedis; ulcération sur le premier orteil gauche; nécrose sur le premier et le deuxième orteils droits
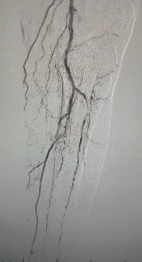
· Imagerie préopératoire: sténose calcifiée diffuse sévère dans les artères bilatérales des membres inférieurs
Approche de traitement
Compte tenu de l'état vasculaire complexe, nous avons sélectionné le système de cathéter de dilatation à ballonnet IVL périphérique ThorCrack. En raison de la tolérance limitée du patient, des procédures interventionnelles par étapes sur les deux membres inférieurs ont été réalisées.
Résultat chirurgical
Après la procédure, la sténose artérielle s'est améliorée de manière significative, le flux sanguin a augmenté et la température de la peau a augmenté. Aucune complication postopératoire n'est survenue. Le patient et l'équipe chirurgicale étaient très satisfaits des résultats.
Ce cas met en évidence une percée majeure dans le traitement minimalement invasif de l'artériosclérose grave des membres inférieurs, offrant des solutions plus efficaces pour les cas difficiles.





