Coup de projecteur clinique | Nuva Flow Diverter dans le traitement d'un anévrisme de l'artère communicante postérieure
-
2025-12-18
-
Lepu
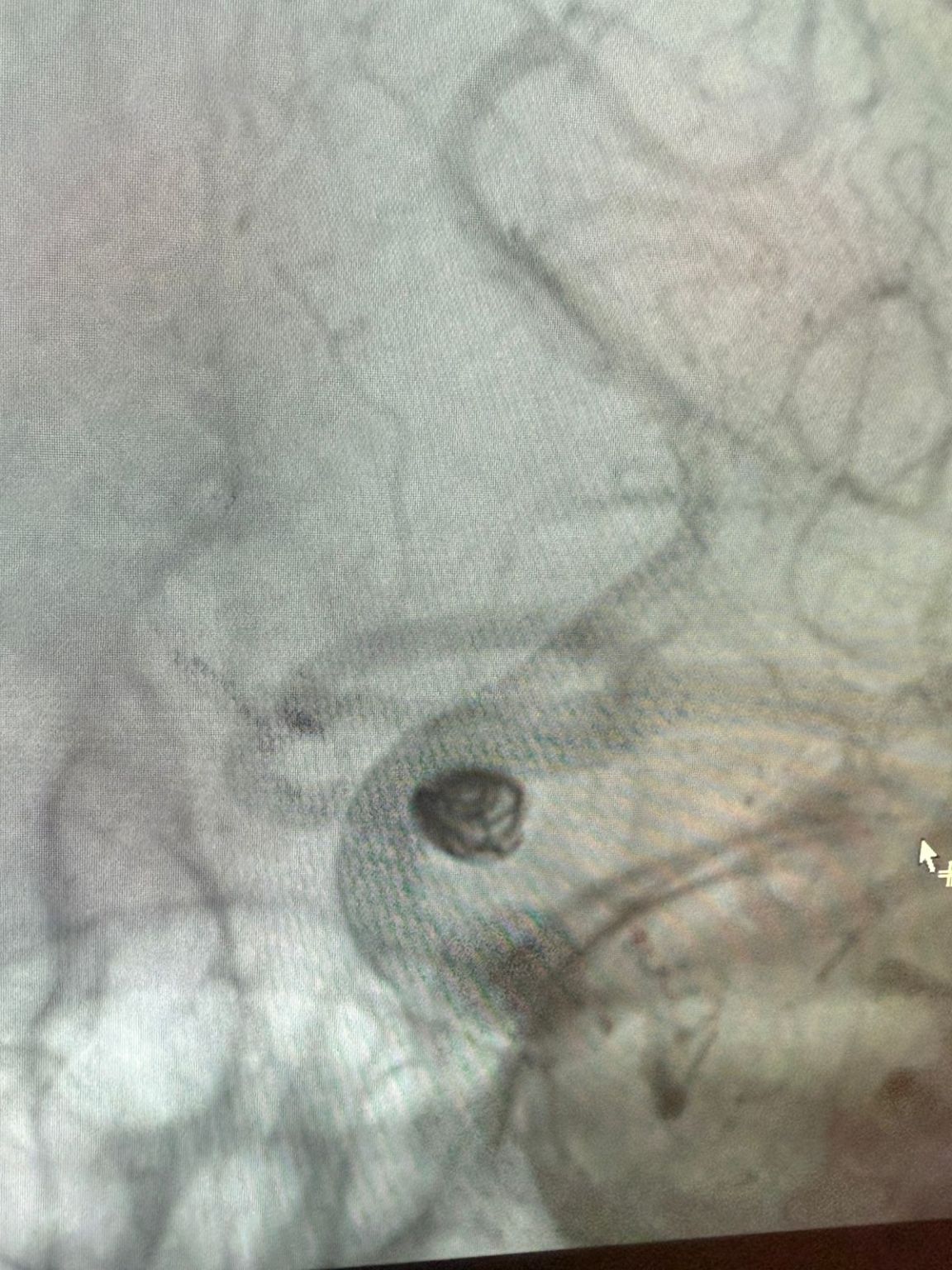
Nous sommes heureux de partager une récente procédure réussie à la Clínica Alma Mater, Medellín, réalisée par le Dr Jorge Mutis.
Le traitement a utilisé le Nuva®Déverseur d'écoulement (TJED-D 5.0-14), Perdenser®Bobine 3D, et Frepass®Microcathéter (TJMC18 Plus) pour un anévrisme de l'artère communicante postérieure.
Aperçu clinique:
Le Dr Mutis a souligné l'excellente visibilité de l'appareil et a noté que la récupération était fluide. Il s'est dit très satisfait du résultat final.
TJWY Medical se consacre à fournir des solutions neurovasculaires fiables et de haute qualité pour aider les médecins à fournir les meilleurs soins à leurs patients. Nous apprécions sincèrement la confiance et la collaboration du Dr Mutis et de l'équipe dans le choix de nos produits pour ce cas.




