Partage de cas | L'occluseur PFO biodégradable MemoSorb s'attaque avec succès à la fermeture ultra-longue du tunnel PFO de 33mm
-
2024-12-27
-
LEPU
Case Sharing | MemoSorb biodegradable PFO occluder successfully tackles the 33mm ultra-long tunnel PFO closure
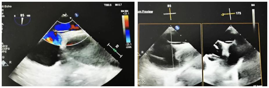
Case Information: A 60-year-old male patient was admitted to the neurology department after experiencing "left-sided limb weakness". The patient underwent a routine transesophageal echocardiogram (TEE), which revealed a patent foramen ovale (PFO) (congenital type, 2.4mm in width, 33mm in length, with moderate shunting). Right heart echocardiography and bubble tests confirmed a grade II shunt.
Stratégie clinique: Nous avons choisi l'occluseur symétrique BDPFO-I 2828 pour assurer une fermeture optimale. Au cours de la phase de libération, l'imagerie DSA a été utilisée pour le positionnement, tandis que le guidage par ultrasons a été principalement utilisé pour assurer un déploiement précis.
Résumé du cas: En raison de la longueur du tunnel, les fils guides de cathéter conventionnels et le support de la gaine de ponction septale n'étaient pas efficaces. Plus précisément, un fil-guide coronaire combiné à une gaine de ponction septale a été utilisé dans ce cas et a traversé avec succès le septum. Lors de l'utilisation d'occluseurs métalliques traditionnels pour les longues fermetures PFO du tunnel, le matériau rigide et la position de taille fixe empêchent souvent le disque gauche de se dilater complètement. Cela peut entraîner le disque à être tiré dans le tunnel, conduisant à un manoeuvres résiduel. En revanche, l'obturateur biodégradable, avec sa forte conformité, a permis à la taille de remplir complètement le tunnel et de réaliser une fermeture efficace.
Cette fermeture réussie valide davantage l'efficacité des occluseurs biodégradables de PFO dans le traitement des cas complexes de PFO.
Contact us>>Marketing@lepu-medical.com
Visit lepumedical website for more >>En.lepumedical.com



