Partage de cas | Fermeture PFO à long tunnel avec occluseur biodégradable MemoSorb
-
2025-04-28
-
LEPU
30-Year Migraine Relief & 1-Year Follow-Up: Long-Tunnel PFO Closure with MemoSorb Biodegradable Occluder
Today, we share a remarkable case highlighting 1-year post-op outcomes of MemoSorb in treating a complex long-tunnel PFO (12mm length, 1.4mm width), with a focus on serial echocardiographic evidence of device degradation and clinical symptom resolution.
Faits saillants du cas
Profil du patient: 53F, antécédents de migraines de 30 ans (souvent unilatérales, durant des heures à des jours), 2 épisodes syncopal.
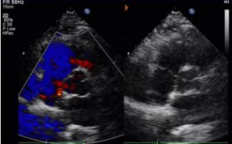
Diagnostic: Étude de bulles positives.
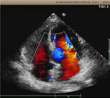
Implant: 2424 MemoSorb®Occluder PFO biodégradable déployé sous écho et guidage DSA.
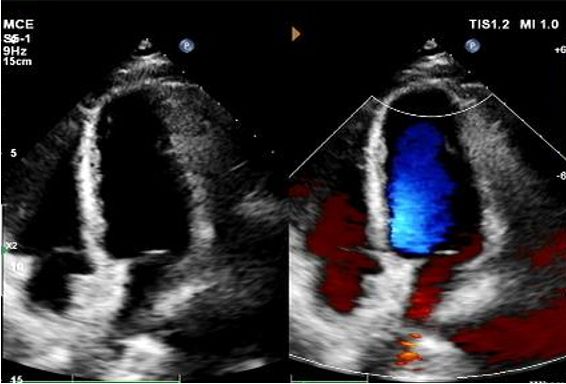
Résultats clés de l'imagerie de suivi
Jour 1 à 9 mois:
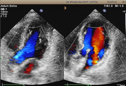
Aucun shunt résiduel n'a été observé.
Réduction progressive de l'échogénicité du dispositif.
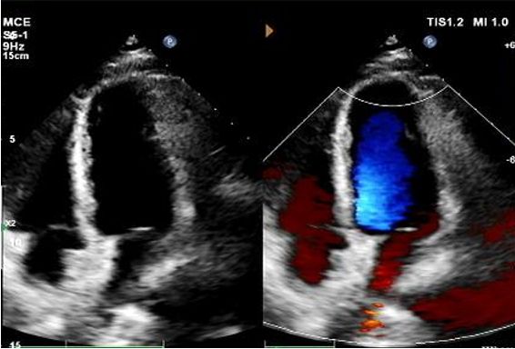
Écho d'une année:
No visible disc structures – replaced by 8mm tissue thickening at the septal implant site.
Zero residual shunt (rest or post-Valsalva).
Absorption complète de l'appareil confirmée.
Résultats cliniques:
1. Migraine frequency/severity significantly reduced post-implant.
2. No recurrence of syncope or neurological symptoms.
3. Patient-reported improved quality of life.
Contact us>>Marketing@lepu-medical.com
Visit lepumedical website for more >>En.lepumedical.com




