Bonne nouvelle! Le ballon Lepu Vesscrack IVL permet un traitement de calcification coronaire réussi au Chili
-
2025-09-02
-
LEPU
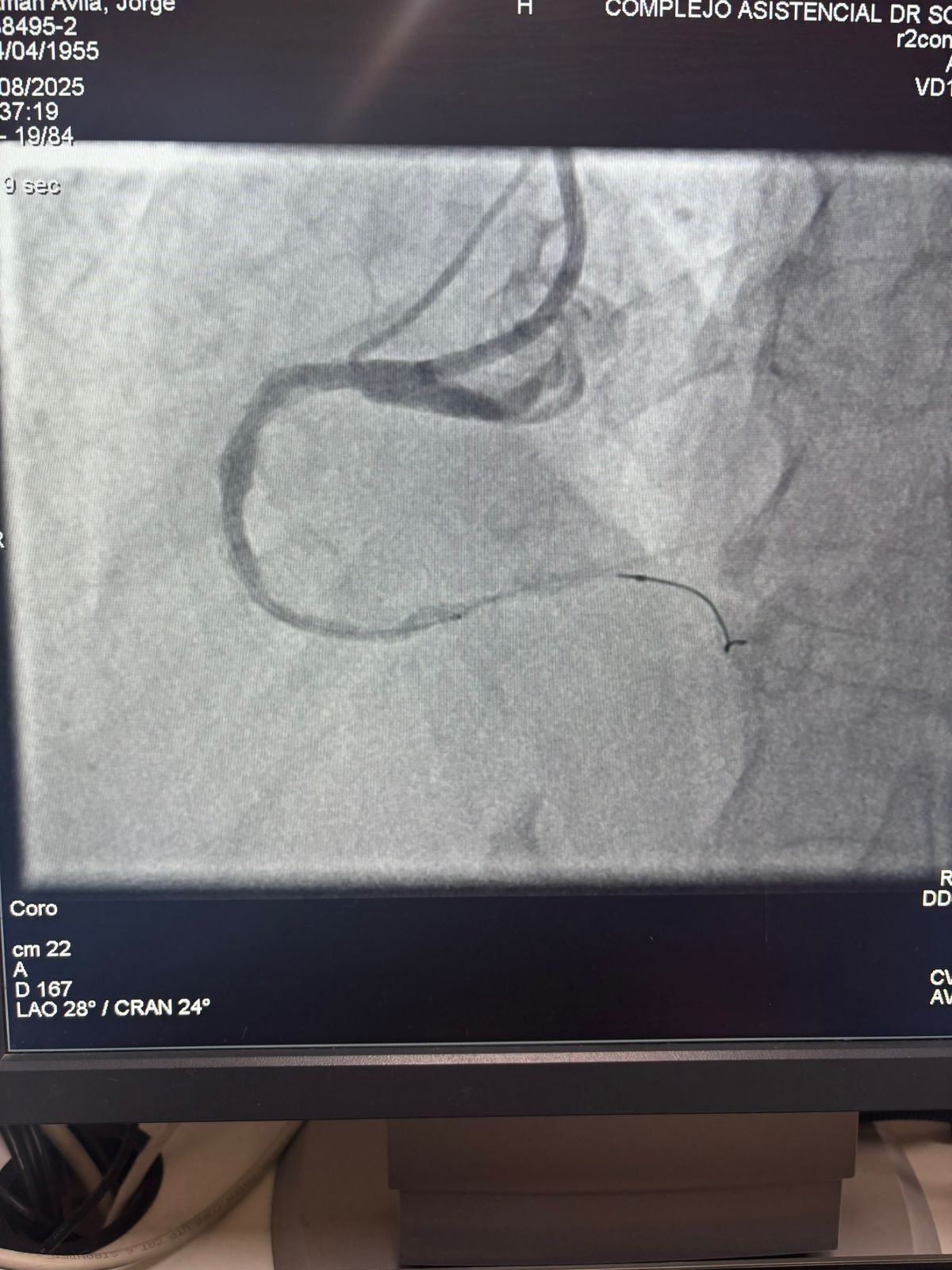
Nous sommes fiers de partager un cas remarquable de l'Hôpital Sótero del Río, Chili, où le Dr Martín Valdebenito a traité avec succès une lésion fortement calcifiée dans l'artère coronaire droite (première courbe) en utilisant notre système de cathéter de dilatation coronaire IVL Vesscrack.
La procédure a obtenu des résultats exceptionnels, avec la région calcifiée effectivement fissurée et l'écoulement du navire restauré. Cela marque une autre étape importante dans l'élargissement de l'accès mondial à des solutions avancées pour la calcification coronarienne complexe.
La comparaison entre les images angiographiques pré-procédure et post-procédure démontre clairement l'impact clinique significatif de notre technologie IVL.
Chez Lepu Medical, nous restons engagés à habiliter les médecins du monde entier avec des solutions innovantes qui transforment les cas difficiles en résultats positifs.
Contact us>>Marketing@lepu-medical.com
Visit lepumedical website for more >>En.lepumedical.com




***This product is presented for academic exchange purpose only and is not intended for sale within European Union.***
