Partage de cas | Première utilisation à l'étranger du déverseur de débit NUVA de TJWY Med en Colombie
-
2025-01-15
-
LEPU
Case Sharing | First Overseas Use of TJWY Med's NUVA Flow Diverter in Colombia
Nous sommes ravis d'annoncer la mise en œuvre réussie du déviateur de débit NUVA de TJWY Medical dans le premier cas à l'étranger en Colombie! Cette intervention révolutionnaire a été réalisée par le neuroradiologue de renom Dr Nelson Lobelo.
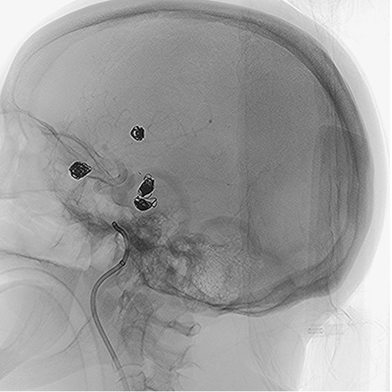
Aperçu de cas:
• The patient presented with multiple unruptured giant wide-neck aneurysms. A pre-treatment panangiography revealed a right posterior communicating artery aneurysm measuring approximately 8x8mm and an additional 8x6mm saccular aneurysm in the left azygos pericallosal artery—an exceedingly rare anatomical variation.
• The left middle cerebral artery aneurysm (9x5mm) had previously been treated with a coil but required further intervention.
Faits saillants chirurgicaux:
• Under general anesthesia, a puncture was performed on the right femoral artery, and a CEREBASE 8F introducer catheter was inserted.
• The left internal carotid artery (ICA) was accessed and a pathway was built using TJWY’s FREPASS microcatheter.
• A 5x20mm NUVA flow diverter, designed by TJWY, was deployed to treat the aneurysm in the posterior communicating artery with precision, achieving immediate blood flow stagnation.
• The neck of another aneurysm in the pericallosal artery was protected with a 10mm PCONUS intrasaccular device, and successfully embolized with 3 coils.
Résultat:
• The NUVA flow diverter demonstrated excellent wall apposition without complications.
• Post-surgery, branch vessels were fully preserved, and the patient’s recovery was smooth with no adverse events.
Un grand merci à toute l'équipe médicale pour leur expertise et leur dévouement!
Contact us>>Marketing@lepu-medical.com
Visit lepumedical website for more >>En.lepumedical.com



