Accueil>Nouvelles
Partage de cas | Occlusion chronique de CLI traitée avec ThorCrack IVL
-
2025-06-06
-
LEPU
Pleins feux sur les cas cliniques: Occlusion chronique de l'ILC traitée avec Thorcrack IVL
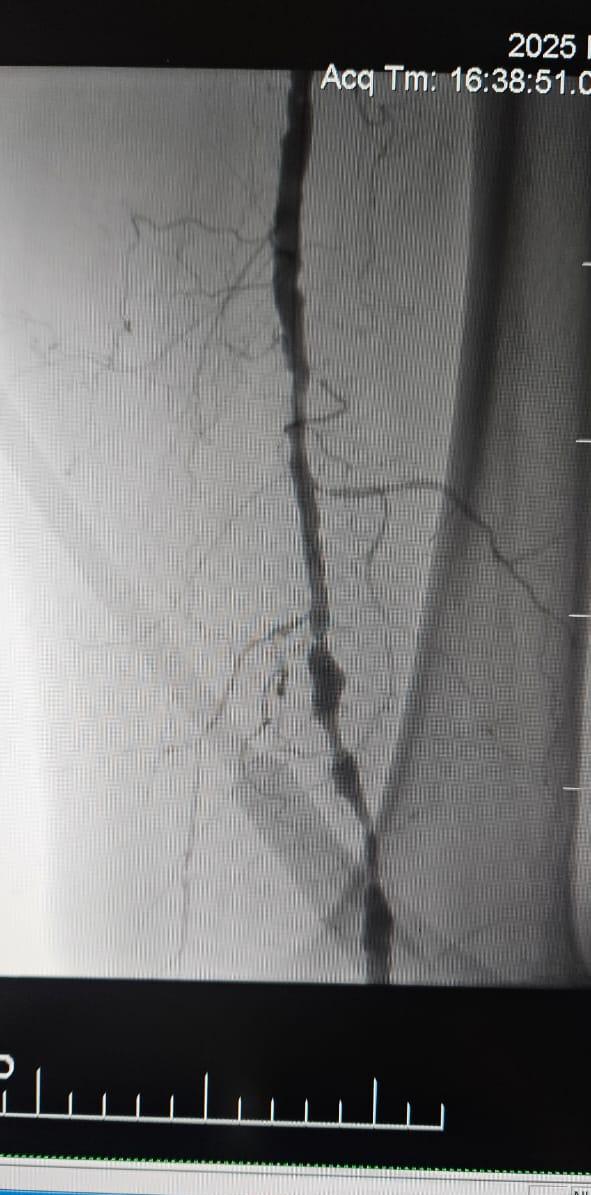
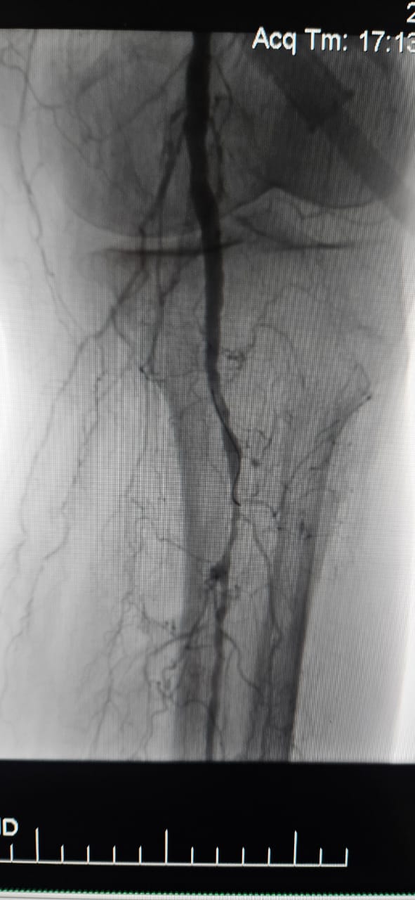
Nous sommes heureux de partager un cas réussi dans un hôpital de Batumi, en Géorgie, où une patiente de 78 ans atteinte d'ischémie critique des membres (ILC) causée par une occlusion totale chronique de l'artère du membre inférieur a montré une amélioration clinique remarquable après un traitement avec le système de cathéter de dilatation à ballonnet ThorCrack Peripheral IVL.
Au sujet du cathéter de dilatation périphérique de ballon de ThorCrack IVL
Le cathéter de dilatation à ballonnet ThorCrack périphérique IVL est spécialement conçu pour la préparation des lésions et la dilatation des sténoses calcifiées (≥ 50%) dans les: artère iliaque, artère fémorale, artère iliofémorale, artère poplitée, artère rénale, artères infrapoplitées (sous le genou)
Spécifications clés:
Impulsions IVL maximales: 300
Impulsions IVL pour le cycle: 30 (10 cycles)
Diamètres de ballon (mm): 3.0 / 3.5 / 4.0 / 4.5 / 5.0 / 5.5 / 6.0 / 6.5 / 7.0
Longueurs de ballons (mm): 40/60
Compatible guidewire: 0.014"
Ce cas souligne la valeur clinique de la lithotripsie intravasculaire (IVL) dans le traitement des cas CLI complexes avec une occlusion chronique à long segment-en particulier chez les patients présentant une calcification lourde, où les ballons traditionnels ou les dispositifs d'athérectomie peuvent avoir une efficacité limitée.
Nous sommes fiers de voir ThorCrack IVL permettre aux médecins du monde entier de surmonter les lésions calcifiées, de restaurer la perfusion et d'améliorer les résultats pour les patients atteints d'une maladie artérielle périphérique complexe.
Contact us>>Marketing@lepu-medical.com
Visit lepumedical website for more >>En.lepumedical.com



